04 - Tecido Conjuntivo
Tecido Conjuntivo
Derme de Pele Delgada - Tecido Conjuntivo Denso Não Modelado - Coloração: TM
Derme de Pele Delgada - Tecido Conjuntivo Denso Não Modelado - Coloração: TM.
Tendão Tecido Conjuntivo Denso Modelado - NF = Núcleo de fibrócito - Coloração: H&E
Tendão Tecido Conjuntivo Denso Modelado - NF = Núcleo de fibrócito - Coloração: H&E.
Cordão Umbilical Tecido Conjuntivo Frouxo - Fb = Fibrobasto e Fc = Fibrócito - Coloração: TM
Cordão Umbilical Tecido Conjuntivo Frouxo - Fb = Fibrobasto e Fc = Fibrócito - Coloração: TM.
Artéria Aorta Fibras Elástica e Fibras Colágenas - FE = fibra elástica e FC = fibra colágena - Coloração: Verhoeff
Artéria Aorta Fibras Elástica e Fibras Colágenas - FE = fibra elástica e FC = fibra colágena - Coloração: Verhoeff.
Rim - Fibras Reticulares - Coloração: Hematoxilina Férrica de Regaud
Rim - Fibras Reticulares - Coloração: Hematoxilina Férrica de Regaud.
Fígado Célula de Kupffer - CK = célula de Kupffer (macrófago) e NH = núcleo dos hepatócitos - Coloração: H&E Tinta Nanquim
Fígado Célula de Kupffer - CK = célula de Kupffer (macrófago) e NH = núcleo dos hepatócitos - Coloração: H&E Tinta Nanquim.
Mesentério Montagem Total Mastócito - M = mastócito - Coloração: AM
Mesentério Montagem Total Mastócito - M = mastócito - Coloração: AM.
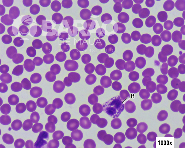
Esfregaço Sanguineo Humano Basófilo - B = basófilo - Coloração: Leishman
Esfregaço Sanguineo Humano Basófilo - B = basófilo - Coloração: Leishman.
Esfregaço Sanguineo Humano Eosnófilo - E = eosinófilo - Coloração: Leishman
Esfregaço Sanguineo Humano Eosnófilo - E = eosinófilo - Coloração: Leishman.
Esfregaço Sanguineo Humano Monócito - M = monócito - Coloração: Leishman
Esfregaço Sanguineo Humano Monócito - M = monócito - Coloração: Leishman.
Esfregaço Sanguineo Humano Neutrófilo - N = Neutrófilo - Coloração: Leishman
Esfregaço Sanguineo Humano Neutrófilo - N = Neutrófilo - Coloração: Leishman.
Esfregaço Sanguineo Humano Linfócito - L = linfócito, P = plaquetas e He = hemácia anucleada - Coloração: Leishman
Esfregaço Sanguineo Humano Linfócito - L = linfócito, P = plaquetas e He = hemácia anucleada - Coloração: Leishman.
Esfregaço Sanguineo de Ave Hemácia e Plaqueta de Ave - He = hemácia nucleada e P = plaqueta - Coloração: Leishman
Esfregaço Sanguineo de Ave Hemácia e Plaqueta de Ave - He = hemácia nucleada e P = plaqueta - Coloração: Leishman.