10 - Órgãos Linfoides
Órgãos Linfoides
Linfonodo - Cap = cápsula, CC = camada cortical e CM = camada medular - Coloração: H&E
Linfonodo - Cap = cápsula, CC = camada cortical e CM = camada medular - Coloração: H&E.
Linfonodo - Cap = cápsula, CC = camada cortical e CM = camada medular - Coloração: H&E
Linfonodo - Cap = cápsula, CC = camada cortical e CM = camada medular - Coloração: H&E.
Timo - Cap = cápsula e L = lóbulo - Coloração: TM
Timo - Cap = cápsula e L = lóbulo - Coloração: TM.
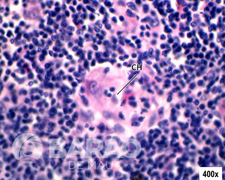
Timo - CC = camada cortical, CM = camada medular e CH = corpúsculo de Hassall - Coloração: TM
Timo - CC = camada cortical, CM = camada medular e CH = corpúsculo de Hassall - Coloração: TM.
Timo - CC = camada cortical, CM = camada medular e CH = corpúsculo de Hassall - Coloração: TM
Timo - CC = camada cortical, CM = camada medular e CH = corpúsculo de Hassall - Coloração: TM.
Baço - Cap = cápsula, PV = polpa vermelha, PB = polpa branca e AC = arteríola central - Coloração: H&E
Baço - Cap = cápsula, PV = polpa vermelha, PB = polpa branca e AC = arteríola central - Coloração: H&E.
Baço - AC = arteríola central - Coloração: H&E
Baço - AC = arteríola central - Coloração: H&E.