02 - Tecido Epitelial Glandular
Tecido Epitelial Glandular
Tireoide Glândula Vesicular - V = Vesícula ou folículo - Coloração: H&E
Tireoide Glândula Vesicular - V = Vesícula ou folículo - Coloração: H&E.
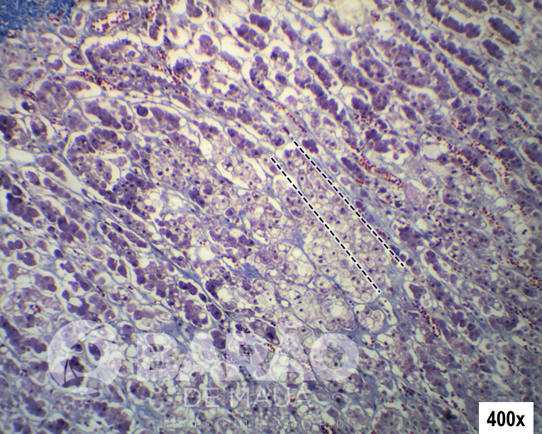
Adrenal Glândula Cordonal - Co = Cordões (Pontilhado) - Coloração: TM
Adrenal Glândula Cordonal - Co = Cordões (Pontilhado) - Coloração: TM.