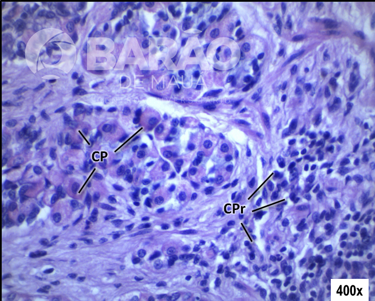
Estômago - CP = células parietais e CPr = células principais - Coloração: TM
Estômago - CP = células parietais e CPr = células principais - Coloração: TM.
Junção Piloro - Duodeno - TM = túnica mucosa, LP = lâmina própria, MM = muscular da mucosa, EP = esfincter pilórico - Coloração: H&E
Junção Piloro - Duodeno - TM = túnica mucosa, LP = lâmina própria, MM = muscular da mucosa, EP = esfincter pilórico - Coloração: H&E.
Transição Piloro Duodeno - FL = folículo linfático, MI = mucosa intestinal, TS = submucosa e GlB = glândulas de Brunner “duodenais” Seta: junção gastroduodenal - Coloração: H&E
Transição Piloro Duodeno - FL = folículo linfático, MI = mucosa intestinal, TS = submucosa e GlB = glândulas de Brunner “duodenais” Seta: junção gastroduodenal - Coloração: H&E.
Duodeno - Ep = epitélio, MB = M. de Brucke, GlI = glândulas de Lieberkuhn “intestinais”, MM = muscular da mucosa, GlB = glândulas de Brunner “duodenais”, Linha tracejada = limite entre a base das vilosidades e as glândulas intestinais - Coloração: H&E
Duodeno - Ep = epitélio, MB = M. de Brucke, GlI = glândulas de Lieberkuhn “intestinais”, MM = muscular da mucosa, GlB = glândulas de Brunner “duodenais”, Linha tracejada = limite entre a base das vilosidades e as glândulas intestinais - Coloração: H&E.
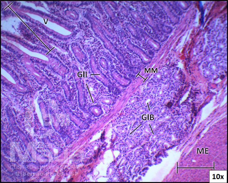
Duodeno - V= vilosidades, GlI = glândulas intestinais, MM = muscular da mucosa, GlB= glândulas de Brunner “duodenais” e ME = muscular externa - Coloração: H&E
Duodeno - V= vilosidades, GlI = glândulas intestinais, MM = muscular da mucosa, GlB= glândulas de Brunner “duodenais” e ME = muscular externa - Coloração: H&E.